Unsere Vascular Suite bietet Optionen für Arbeitsabläufe, dedizierte interventionelle Tools und eine breite Auswahl an fortschrittlichen Instrumenten zur Verbesserung der Verfahrenseffizienz. So hilft sie Ihnen, für den klinischen Outcome bei Patienten mit Aortenerkrankungen neue Maßstäbe zu setzen. Die Tools unterstützen jeden Schritt des Verfahrens – von der Entscheidungsfindung, Führung und Behandlung bis hin zur Verifizierung der Behandlungsergebnisse.

SmartCT Soft Tissue ist eine Röntgen-Erfassungstechnik, die eine CT-artige Darstellung des Weichgewebes in Relation zu anderen Strukturen erzeugt. Sie kann direkt am Tisch über den Touchscreen gesteuert werden. Mit den CT-artigen Bildern können Weichgewebe, Knochenstrukturen und Stent-Platzierung vor, während und nach interventionellen Verfahren beurteilt werden. Diese Technik ist besonders hilfreich, um nach (komplexen) EVAR-Verfahren Komplikationen zu erkennen.

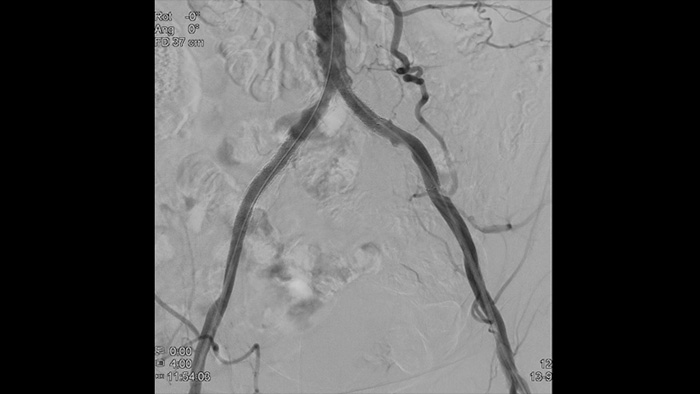
VesselNavigator bietet eine intuitive und fortlaufende 3D Roadmap basierend auf vorhandenen CT-Angiographie- und MRA-Datensätzen, um Sie bei Aorteneingriffen durch das Gefäßsystem zu führen. Eine Studie zeigte eine durchschnittliche Einsparung von 170 ml Kontrastmittel während einer endovaskulären Reparatur eines komplexen Aortenaneurysmas unter Verwendung der Bildfusionsführung mittels CT-Angiographie durch VesselNavigator.1 Eine weitere Studie zeigte eine Reduzierung der durchschnittlichen Behandlungszeit von 6,3 (um 1,1) auf 5,2 Stunden bei FEVAR/BEVAR unter Verwendung der Bildfusionsführung mittels CT-Angiographie durch VesselNavigator.2

Für einen effektiven Zugang zum arteriellen System ist eine realistische Visualisierung des arteriellen Gefäßsystems erforderlich. Unser integriertes CX50-Ultraschallsystem liefert hochwertige Bilder der Radialarterie und -venen, um radiale Zugangsinterventionen zu unterstützen.
„Nachdem wir VesselNavigator nun einen Monat lang verwendet haben, überwiegt der klinische Nutzen der Lösung bereits die Investitionskosten.“
Prof. Dr. F. Vermassen
Universitätsklinik Ghent

Dies ist nur eine von vielen Verbesserungen, die die Abteilung für interventionelle Gefäßmedizin am St. Antonius-Krankenhaus nach der Installation des Azurion Systems erzielte. Diese erste Studie zur Möglichkeit, mit Azurion das Beste aus dem Labor herauszuholen, zeigte beeindruckende Ergebnisse, die von einer unabhängigen Institution verifiziert wurden.

Mit Philips Azurion wurde ein Durchbruch bei der Arbeitsablaufs-Verbesserung erzielt, wodurch erwiesenermaßen die Effizienz erhöht werden kann.

Der intravaskuläre Ultraschall (IVUS) ist eine katheterbasierte Bildgebungstechnologie, mit der Blutgefäße von innen nach außen dargestellt werden können, um das Vorliegen und das Ausmaß der Erkrankung zu beurteilen. IVUS unterstützt die Entscheidungsfindung, die Führung und die Bestätigung der richtigen interventionellen Behandlung für jeden einzelnen Patienten.

Hochauflösende Bilder von Gefäßen mit hervorragender Detailgenauigkeit zur Unterstützung durchdachter Behandlungsstrategien, präziser Navigation und Verlaufsbeobachtung
September 21, 2023
Lösungen für interventionelle Verfahren bei peripherer arterieller Verschlusskrankheit (pAVK) von Philips Image Guided Therapy
Mehr erfahren Literatur
You are about to visit a Philips global content page
Continue