dStream Technologie, digitale Breitbandarchitektur, digitalisiert das Signal direkt in der Spule.
Die digitale dStream Breitbandarchitektur liefert eine ausgezeichnete Bildqualität in bemerkenswert kurzer Zeit. Profitieren Sie dank der kanalunabhängigen HF-Technologie, durch die sich Upgrades komfortabel durchführen lassen, von einem bis zu 40% höheren Signal-Rausch-Verhältnis* und einem erhöhten Durchsatz. dStream digitalisiert das Signal direkt in der Spule, verhindert so das für die analoge Übertragung typische Rauschen und erfasst das MR-Signal ohne Vorverzerrung oder Komprimierung. Eine Glasfaserverbindung zwischen Spule und Bildrekonstruktionseinheit ermöglicht eine verlustfreie Breitband-Datenübertragung.
Die dStream Technologie macht den entscheidenden Unterschied."
Chip Truwit, MD, Leiter der Radiologie, Hennepin County Medical Center; Minneapolis, Minnesota, USA

Die dStream Architektur nutzt eine DirectDigital HF-Sampling-Methode für die Digitalisierung: Das MR-Signal wird ohne Digital-Umwandlung direkt abgetastet. Auf diese Weise werden alle analogen Zwischenschritte für die Abwärtskonvertierung des Signals zwischen dem Spulenelement und dem Analog-Digital-Wandler vermieden.

Das Endergebnis ist eine vereinfachte Empfangsarchitektur, mit wenigen Komponenten, geringem Stromverbrauch, hohem SNR und Dynamikbereich sowie einer besseren Signal- und Phasenstabilität.

Die Digitalisierung findet in der Spule selbst statt. Die Elektronik zur Analog-Digital-Umwandlung wurde miniaturisiert und in die Spule integriert.
Ein Glasfaserkabel für eine beliebige Anzahl von HF-Kanälen ersetzt mehrere Koaxialkabel – bei gleichbleibender Bildqualität. Die Anzahl der HF-Kanäle ist keine Systemspezifikation mehr.

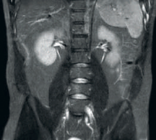
Das Ergebnis: Ein verbessertes SNR und höhere Bildauflösung

Das Ergebnis: Verrauschte Bilder bei Verwendung identischer Scanparameter

Höhere Konsistenz und verbesserte Bildqualität Die dStream HF-Empfangstechnologie digitalisiert das MR-Signal direkt in der HF-Spule, was im gesamten Bildvolumen zu einem bis zu 40% höheren SNR* führt. Vereinfachter Arbeitsablauf und höherer Durchsatz Dank der in die Tischplatte integrierten posterioren Spule entfällt bei 60% der Untersuchungen jede Spulenhandhabung. Das geringe Gewicht der anterioren Spulen und einfache Kabel-Spulen-Verbindungen, die mit nur einer Hand hergestellt werden können, erleichtern die Bedienung zusätzlich.

Geringere Upgrade-Komplexität durch Kanalunabhängigkeit Es ist kein Kanal-Upgrade des Systems erforderlich, um von Neuerungen in der Spulentechnologie zu profitieren. Zukunftssichere Architektur Die Erweiterung der klinischen Funktionen lässt sich ohne größere Systemerneuerungen erreichen – das bedeutet über den gesamten Lebensyklus des Systems geringere Kosten und eine höhere Werthaltigkeit.

dStream ist in alle neuen Ingenia MR-Systeme integriert, doch auch Besitzer bereits installierter Systeme können die Vorteile genießen. SmartPath to dStream ist ein kostengünstiger Weg zu einem digitalen Breitband-MR-System und für folgende Systeme erhältlich: • Intera 1.5T • Achieva 3.0T/3.0T TX • Achieva 1.5T/XR
Ein Video zur Erläuterung der dStream Architektur.
*Bis zu 40% höheres Signal-Rausch-Verhältnis im Vergleich zu Achieva als nichtdigitales/dStream System
Das Hennepin County Medical Center (HCMC) betreibt eine hochmoderne MR-Einrichtung, die mit dem Ingenia 1.5T MR-Scanner von Philips mit dStream Technologie arbeitet.*
You are about to visit a Philips global content page
Continue