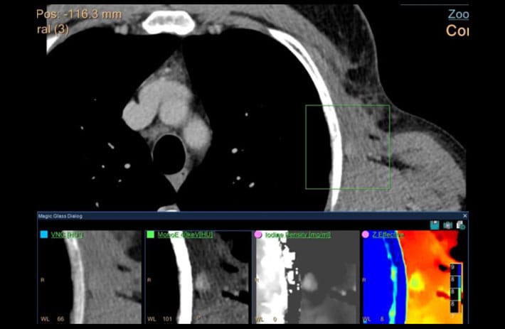
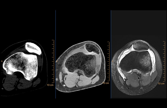
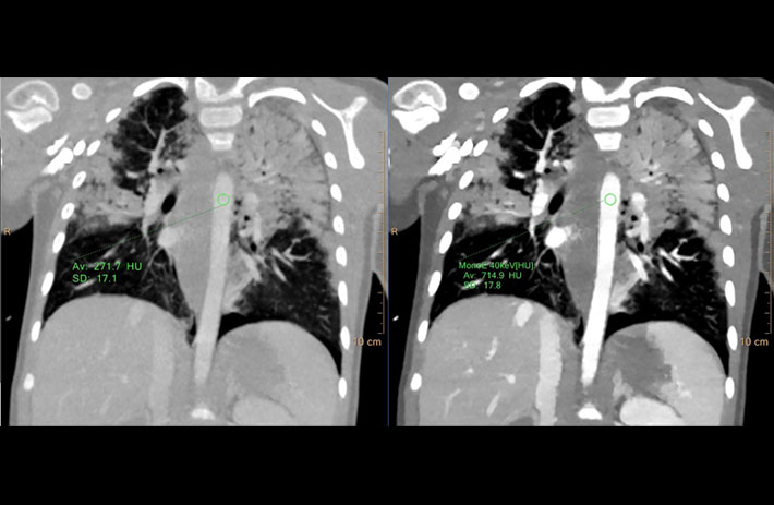
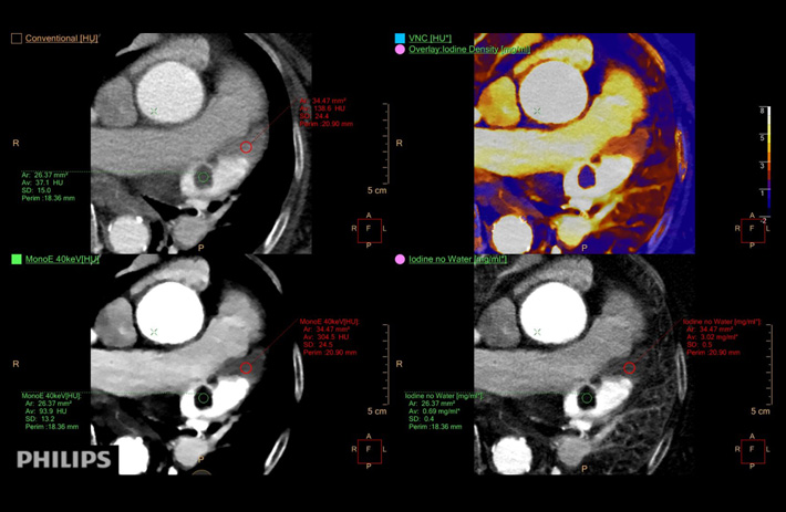
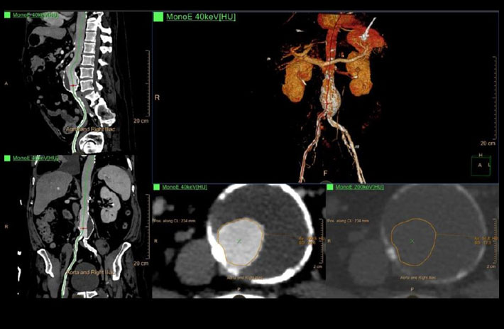
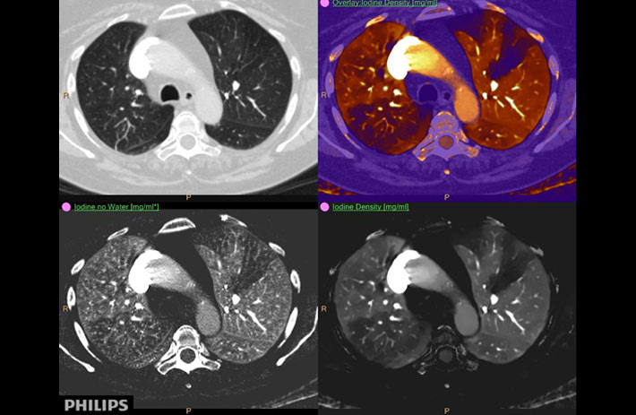
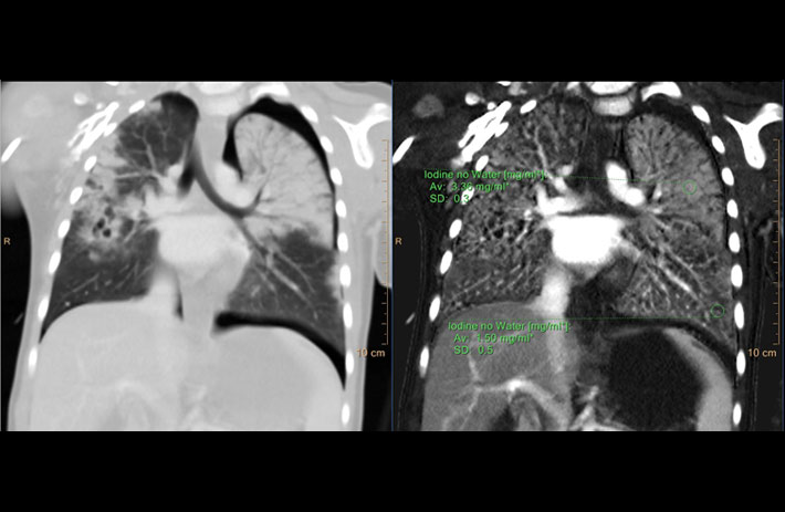
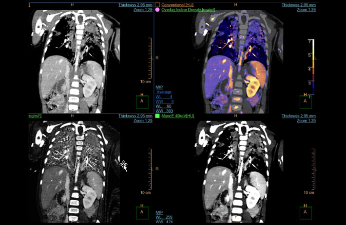
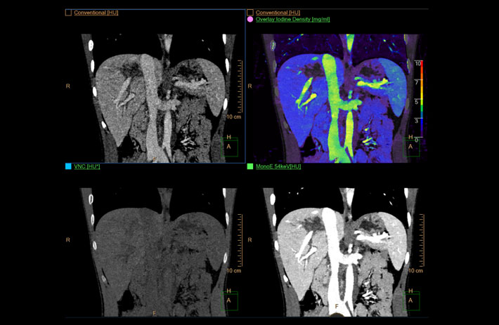
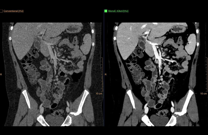
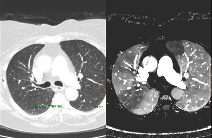
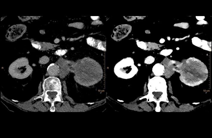
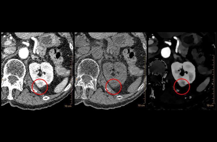
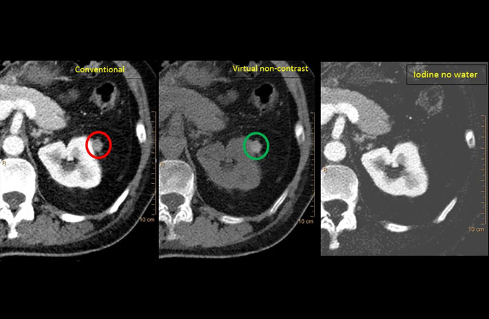
Mit dem Spektral-Detektor-CT werden Spektraldaten automatisch bei jedem Scan erfasst. Die Informationen stehen jederzeit auf der Scankonsole, der CT-Workstation sowie an jedem PACS-Arbeitsplatz zur Verfügung, sodass es nicht notwendig ist, den Patienten erneut zu scannen, bspw. wenn initial zufällige Anomalien festgestellt wurden. Dadurch profitieren Anwender durch eine höhere Diagnosesicherheit und weniger Nachuntersuchungen auf anderen bildgebenden Systemen. Unsere Fallsammlung zeigt, welchen klinischen Mehrwert der Spektral-Detektor-CT in unterschiedlichsten Anwendungsbereichen in der klinischen Routine bringt. Jede Woche gehen neue Fälle live.

You are about to visit a Philips global content page
Continue