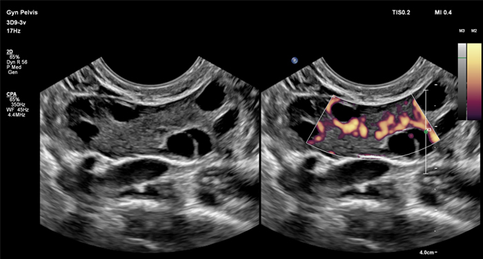
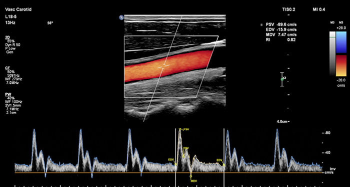
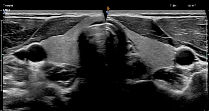
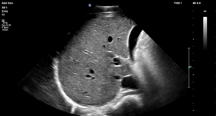
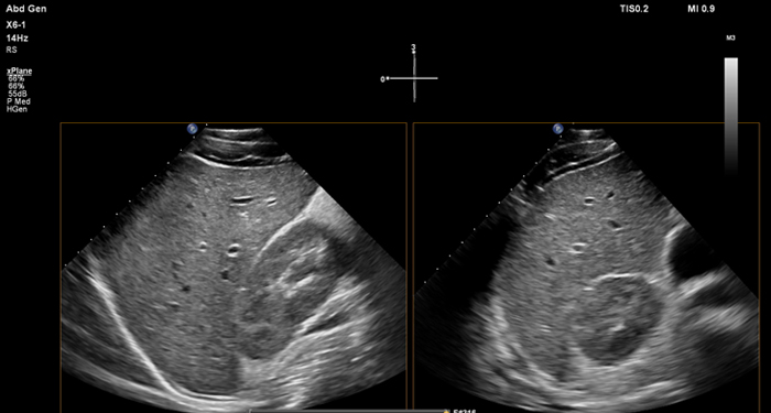
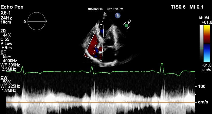
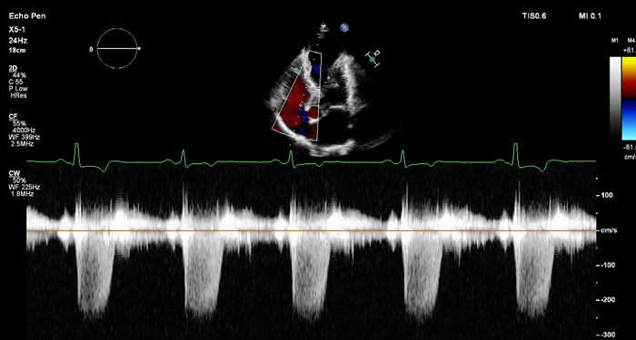
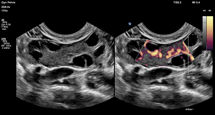
Die neue hochauflösende MaxVue Vollbildanzeige liefert auf Knopfdruck eine imposante Darstellung der Anatomie – mit 1.179.648 zusätzlichen Bildpixeln im Vergleich zum Standard-Anzeigeformat 4:3. MaxVue optimiert die Anzeige von Ultraschallbildern bei interventionellen Verfahren und bietet einen um 38% größeren Anzeigebereich für eine optimierte Darstellung von doppelten, nebeneinander liegenden, biplanaren oder Scroll-Ultraschallbildern.

*im Vergleich zur Anzeige auf Philips Ultraschallsystemen ohne MaxVue

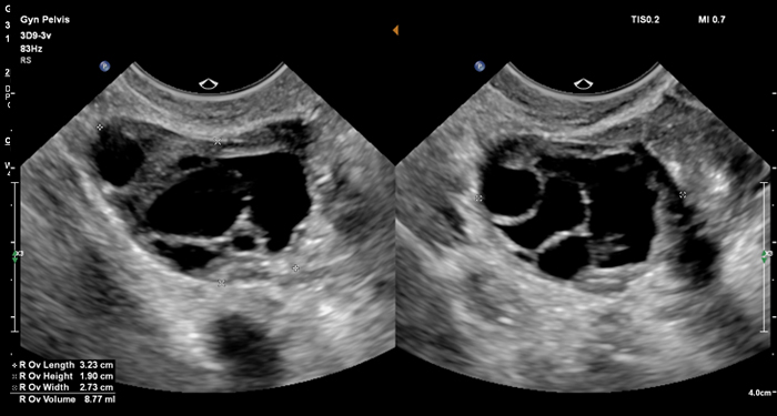
MaxVue bietet einen um 38% größeren Anzeigebereich.*










* im Vergleich zur Anzeige auf Philips Ultraschallsystemen ohne MaxVue

MaxVue bietet auf Knopfdruck eine hochauflösende Anzeige.











MaxVue bietet 1.179.648 zusätzliche Bildpixel gegenüber dem standardmäßigen Anzeigeformat 4:3.




MaxVue bietet einen um 38% größeren Anzeigebereich.*






* im Vergleich zur Anzeige auf Philips Ultraschallsystemen ohne MaxVue
You are about to visit a Philips global content page
Continue