xMATRIX
Neue Schallkopftechnologie xMATRIX optimiert Untersuchungserfahrungen​

xMATRIX Schallkopftechnologie

ändert die Untersuchungserfahrung

Lassen Sie uns in Kontakt treten!

Wie können wir Ihnen weiterhelfen?

1
Wählen Sie Ihren Interessenbereich aus
2
Kontaktdetails

Aufgrund der höheren Detailgenauigkeit und Auflösung sorgt die xMATRIX Technologie für schnellere und einfachere Untersuchungen zum Wohl von Klinikpersonal und Patienten.

xMATRIX ist unsere neueste und vielseitigste Schallkopftechnologie, die derzeit auf dem Markt angeboten wird. Aufgrund der höheren Detailgenauigkeit und Auflösung sorgt sie für schnellere und einfachere Untersuchungen zum Wohl von Klinikpersonal und Patienten. Die xMATRIX Technologie ermöglicht die schnelle und einfache Volumenerfassung, unterstützt mehrere Abfragefunktionen und bietet Ansichten, die mit der 2D-Bildgebung nicht möglich sind – all dies mit außergewöhnlicher Bildqualität. Sie ermöglicht die zuverlässige Beurteilung von Anatomie und Funktion, die problemlose Erkennung von Anomalien und die genaue Visualisierung von strukturellen Zusammenhängen im dreidimensionalen Raum.

Icon verbesserter Arbeitsablauf​

Besserer Arbeitsablauf

 

Mit nur einem Knopfdruck bietet xMATRIX alle Betriebsarten in einem einzigen Schallkopf: 2D, 3D/4D, Live 3D, Live xPlane, Live-3D-Zoom, Live-3D-Komplettvolumen, elektronische Rotation iRotate, Live MPR, MPR, M-Mode, Doppler, Farbdoppler und Color Power Angio (CPA). Dadurch müssen Sie die Daten-Erfassung nicht aufgrund eines Schallkopfwechsels unterbrechen. Sie können xMATRIX Ultraschall-Volumendaten ebenso wie CT- und MR-Bilder auf Ihrem PACS anzeigen. Nach der Erfassung der Volumendaten erfasst das System die X-, Y-, Z- oder iSlice MPR-Bildschleifen mit nur einem Knopfdruck und leitet diese an das PACS weiter. Anzeigen und Abfragen ganz nach Ihrem Zeitplan!

Icon hohe Flexibilität​

Extrem hohe Flexibilität

 

xMATRIX-Schallköpfe unterstützen die verschiedensten klinischen Applikationen, wie u.a. Herzuntersuchungen bei Erwachsenen und Kindern, Abdomen-, Gefäß-, Geburtshilfe- und gynäkologische Untersuchungen sowie kardiologische und abdominale Eingriffe. xMATRIX ist für die xMATRIX-Systeme EPIQ 7 und CX50 erhältlich.

Icon optimierte Leistung​

Beeindruckende Leistung

 

xMATRIX-Schallköpfe setzen neue Maßstäbe in der Ultraschall Bildgebung. Sie nutzen das Potenzial von 150 Computerplatinen mit 2.500 bis über 9.000 Kristallelementen für eine 360-Grad-Fokussierung und Strahlstreuung. In Kombination mit der Philips nSIGHT Bildgebung und PureWave Kristalltechnologie wird ihre Leistung sogar noch erhöht.

 

 

 

 

Mit der Live-Volumenbildgebung können Komplettvolumen in Echtzeit-Bildraten und außergewöhnlich hoher Isovoxel-Auflösung erfasst und gerendert werden.

Video Simulation Live Volumenbildung vom xMatrix-Schallkopf von Philips​
Video Simulation der Live xPlane Bildgebung​

 

 

 

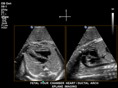
Mit der Live xPlane Bildgebung können zwei Ebenen gleichzeitig mit voller Auflösung und dadurch doppelt so viele klinische Informationen wie bei der herkömmlichen 2D-Bildgebung in derselben Zeit erfasst werden.

 

 

 

Untersuchungskomfort

xMATRIX-Schallköpfe sind nicht nur leistungsstark, sondern auch sehr bedienerfreundlich. Mit ihrem ergonomischen, schlanken Design und angenehmen Griff sorgen sie den ganzen Tag lang für hohen Untersuchungskomfort.

xMatrix-Schallkopf von Philips​

Ultraschalluntersuchung des Fötus

 

Der XMATRIX-Schallkopf X6-1 unterstützt alle Betriebsarten für die Bildgebung bei Ultraschalluntersuchungen des Fötus. Er ermöglicht die Echtzeit-4D-Bildgebung des fetalen Herzens mit einer Bildqualität, die früher nur 2D-Bildern vorbehalten war. Er unterstützt Elevation Compounding ohne Einbußen der Bildfrequenz und sorgt so für eine Reduzierung von Speckle-Artefakten und eine höhere Kontrastauflösung in allen Bildtiefen. Auch in geringen Tiefen zeichnet er sich durch hervorragende Bildqualität aus.

Schnelle Erfassung der Volumendaten des fetalen Herzens


Dank iSTIC mit xMATRIX lässt sich eine Schleife von hochauflösenden Volumendaten für den gesamten fetalen Herzzyklus in nur zwei Sekunden erfassen – gegenüber 12 Sekunden bei der herkömmlichen STIC-Bildgebung (Spatio-Temporal Imaging Correlation). So können auch Aufnahmen von sehr aktiven Feten zur frühzeitigen Erkennung von Anomalien des fetalen Herzens gemacht werden, wodurch sich kostspielige Wiederholungsaufnahmen erübrigen und Ihren Patienten und Mitarbeitern die Zeit und Mühe für die Vereinbarung neuer Untersuchungstermine erspart bleiben.

Frühzeitige Erkennung einer Anomalie bei einem Fötus mit xMATRIX-Schallkopf​

     

 

 

Dank der Klarheit von 3D-Bildern können Sie fetale Anomalien früher und zuverlässiger erkennen, wie bei dieser Spina bifida.

 

 

Die von der Live xPlane Bildgebung zusätzlich bereitgestellten Informationen zeigen zwei Ansichten des fetalen Herzen im Vierkammerblick und des Ductus arteriosus.

Fetale Herzen im Vierkammerblick aufgenommen mit xMATRIX-Schallkopf​
Video Erfahrungsbericht über xMATRIX-Schallkopf​

Erfahrung mit dem xMATRIX-Schallkopf X6-1

 

Jacques Abramowicz, Leiter für die Geburtshilfe und Kodirektor des fetalen und neonatalen Zentrums, Rush Universität, Chicago, Illinois, USA

You are about to visit a Philips global content page

Continue

You are about to visit a Philips global content page

Continue

Unsere Seite wird am besten mit der neuesten Version von Microsoft Edge, Google Chrome oder Firefox angezeigt.