Mit Informationen zu interessanten Themen bleiben Sie auf dem neuesten Stand. Gerne können Sie sich auch mit unserem Vertriebsteam in Verbindung setzen.
Die Philips Neuro Suite bietet ein flexibles, auf die Neuroradiologie zugeschnittenes Produktportfolio integrierter Technologien, Dienstleistungen und Zubehör. Mit der Neuro Suite haben Sie stets die volle Kontrolle – egal, ob bei der Behandlung eines akuten Schlaganfalls, der Darstellung der kleinsten intrakraniellen Gefäße, der präzisen Platzierung eines Flow Diverters oder der Navigation durch eine komplexe arteriovenöse Malformation (AVM). Die hoch entwickelten Bildgebungstechnologien und Optionen der Neuro Suite sind das Ergebnis intensiver Forschung mit führenden klinischen Anwendern und Vorreitern im Bereich neuroradiologischer Eingriffe und bedeuten für Sie mehr Sicherheit bei der Anwendung.

Wir beobachten einen starken Anstieg von Thrombektomien als Behandlung der ersten Wahl für Patienten mit ischämischem Schlaganfall. Darüber hinaus kommt es zu einer Verschiebung von der zeitbasierten hin zu einer bildbasierten Auswahl der Patienten für die Behandlung von ischämischen Schlaganfällen. Unsere Neuro Suite wurde als Antwort auf diese Trends entwickelt. Sie kann Sie beim Erreichen einer hohen Verfahrenseffizienz unterstützen und neue Maßstäbe für den klinischen Outcome setzen.

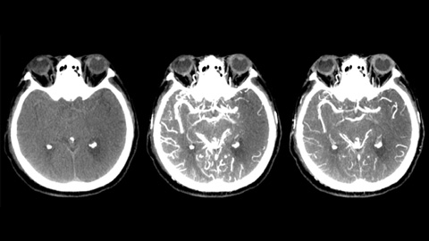
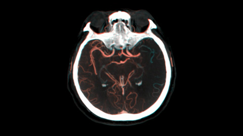
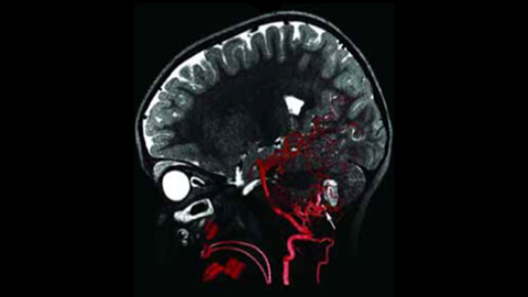
XperCT und VasoCT
Die Möglichkeit zur Darstellung der vaskulären Anatomie und endovaskulärer Materialien im Submillimeter-Bereich verbessert die Erfolgschancen und erhöht die Behandlungssicherheit. XperCT bietet CT-artige Bilder, die direkt in der Neuro Suite erfasst werden und die Identifizierung diskreter Weichgewebeläsionen erleichtern. Eine Kontrolle des Behandlungserfolgs ist somit noch im Untersuchungsraum möglich. VasoCT bietet 3D-Bildgebung mit hoher Auflösung, die wichtige zerebrovaskuläre Strukturen darstellt und so die räumliche Beurteilung von Gefäßen im Weichgewebe auf höchstem Niveau unterstützt.
Moderne Devices zur Behandlung zerebraler Aneurysmen sind teilweise nur sehr schwierig erkennbar, wodurch sich die Dauer solcher Eingriffe erheblich verlängern kann. Deshalb ist eine exzellente 2D- und 3D-Bildgebung wichtiger denn je, denn sie erleichtert die Entscheidungsfindung wie auch die Implantat-Platzierung und ermöglicht gleichzeitig eine effiziente Kontrolle der Strahlendosis.

AneurysmFlow
Die funktionelle Beurteilung des Blutflusses nach abgeschlossener Intervention kann sich als schwierig erweisen. AneurysmFlow liefert Ihnen vor und nach dem Einsetzen eines Flow Diverters relevante Informationen. Durch Darstellung und Quantifizierung von Flussveränderungen sorgt es für größere Sicherheit im Hinblick auf den Eingriffserfolg.
Unsere Neuro Suite bietet Optionen zur Optimierung der Arbeitsabläufe, dedizierte interventionelle neuroradiologische Tools sowie Zubehör. Sie kann Sie beim Erreichen einer hohen Verfahrenseffizienz unterstützen und neue Maßstäbe für den klinischen Outcome Ihrer Schlaganfallpatienten setzen. Die Tools unterstützen jeden Schritt des Verfahrens – von der Entscheidungsfindung, Führung und Behandlung bis zur Verifizierung der Behandlungsergebnisse.
Bei der Planung der Behandlung stehen Sie vor drei wichtigen Herausforderungen:

XperCT ohne Kontrastmittel unterstützt die Erkennung früher ischämischer Veränderungen. XperCT hilft in der Frühphase der Kontrastmittelanreicherung bei der Ermittlung der proximalen Okklusion. XperCT unterstützt in der Spätphase der Kontrastmittelanreicherung bei der Erkennung von Kollateralen.

Die Anzeige der XperCT Dual Volumina der Früh- und Spätphase nebeneinander verbessert die Erkennung der Penumbra und ermöglicht die Darstellung der kollateralen Füllung.

Dank der periprozeduralen Darstellung von Aspekten distaler Gefäße bei ischämischen Schlaganfällen ermöglicht VasoCT IV den Blick hinter das Gerinnsel. Durch retrograde Füllung werden die Gefäßstrukturen vor und hinter dem Gerinnsel sichtbar. Die VasoCT 3D Roadmap kann zur Visualisierung von Devices zur Entfernung von Gerinnseln verwendet werden.
Bei der Navigation und Behandlung von Schlaganfallpathologien müssen Klinikteams in der Lage sein, die genaue Position des Gerinnsels zu visualisieren und zu beurteilen, ob und wie es erreicht werden kann.

Die automatische Bewegungskompensation ermöglicht auch während Echtzeit-DSA scharfe Bilder des Gefäßes und unterstützt so die sichere Entscheidungsfindung während Schlaganfallbehandlungen.

Diese moderne Doppelkontrast-Roadmap verbessert die Visualisierung überlappender Gefäße bei gleichzeitigem Management der Strahlenexposition und ermöglicht so informierte Entscheidungen, ob und wie das Gerinnsel erreicht werden kann.

Die 3D Roadmap bietet anatomische Referenzbilder zur Unterstützung einer präzisen Navigation von Führungsdrähten, Kathetern und Devices zum Gerinnsel.
Nach der Schlaganfallbehandlung muss verifiziert werden, ob das gesamte Gerinnsel entfernt wurde und ob Blutungen vorliegen. Idealerweise finden diese Kontrollen statt, während sich der Patient noch im Interventionslabor befindet.

Hochwertige DSA-Visualisierungen ermöglichen es Ihnen, zu beurteilen, ob das Gerinnsel vollständig entfernt wurde und ob sich Teile davon distal in das Gehirn verteilt haben. Sie können die Wiederherstellung des Blutflusses zur Penumbra verifizieren und eine Überprüfung auf periprozedurale Blutungen vornehmen.

Verwenden Sie die CT-artigen Bilder der Neuro Suite zur Beurteilung des Behandlungserfolgs und Überprüfung auf Blutungen.
Azurion bietet eine Reihe von Innovationen zur Optimierung der Arbeitsabläufe, die auch dem Team im Bereitschaftsdienst während einer akuten ischämischen Schlaganfallintervention leichtes und effizientes Arbeiten bei voller Konzentration auf den Patienten ermöglichen und gleichzeitig die Kontrolle über die Strahlendosis erlauben.


Bietet Ihnen direkt am Tisch Zugriff auf und volle Kontrolle über präoperative diagnostische Scans, Patientendaten und Planungstools. So sparen Sie Zeit und vermeiden unnötige Raumwechsel in den und aus dem sterilen Bereich. Das Touchscreen-Modul Pro ermöglicht die Anzeige von Bildern und die Bedienung von Anwendungen direkt am Tisch mit der Bedienerfreundlichkeit eines Tablets.
You are about to visit a Philips global content page
Continue
Ermöglicht Teammitgliedern die parallele, unabhängie Ausführung verschiedener Aufgaben in Kontroll- und Untersuchungsraum. Dies verkürzt die Behandlungszeit bei Schlaganfallpatienten in kritischem Zustand.
You are about to visit a Philips global content page
Continue
Bietet Ihnen direkt am Tisch die volle Kontrolle, inkl. Zugriff auf präoperative diagnostische Scans, Patientendaten und Planungstools. So sparen Sie Zeit und vermeiden unnötige Raumwechsel zwischen Kontroll- und Untersuchungsraum. Das Touchscreen-Modul Pro ermöglicht die Anzeige von Bildern und die Bedienung von Anwendungen direkt am Tisch, kombiniert mit der Bedienfreundlichkeit eines Tablets.
You are about to visit a Philips global content page
Continue
Zur Fixierung unruhiger Patienten unter leichter Sedierung, um Bewegungsartefakte während des Eingriffs zu reduzieren.
You are about to visit a Philips global content page
Continue
ProcedureCards optimieren und standardisieren die Systemeinrichtung und reduzieren Vorbereitungsfehler bei der akuten ischämischen Schlaganfallbehandlung. Krankenhausspezifische Schlaganfallprotokolle und/oder -checklisten können zu den ProcedureCards hinzugefügt und auf Monitoren angezeigt werden, um den konsistenten Arbeitsablauf während hektischer, akuter Situationen zu unterstützen.
You are about to visit a Philips global content page
Continue
ProcedureCards optimieren und standardisieren die Systemeinrichtung und helfen bei der Verringerung von Vorbereitungsfehlern bei Interventionen der akuten ischämischen Schlaganfallbehandlung. Krankenhausspezifische Schlaganfallprotokolle und/oder -checklisten können zu den ProcedureCards hinzugefügt und auf Monitoren angezeigt werden, um den konsistenten Arbeitsablauf während hektischer, akuter Situationen zu unterstützen.

Bietet Ihnen direkt am Tisch die volle Kontrolle, inkl. Zugriff auf präoperative diagnostische Scans, Patientendaten und Planungstools. So sparen Sie Zeit und vermeiden unnötige Raumwechsel zwischen Kontroll- und Untersuchungsraum. Das Touchscreen-Modul Pro ermöglicht die Anzeige von Bildern und die Bedienung von Anwendungen direkt am Tisch, kombiniert mit der Bedienfreundlichkeit eines Tablets.

Ermöglicht Teammitgliedern die parallele Ausführung unabhängiger Aufgaben, in Kontroll- und Untersuchungsraum. Dies erhöht die Effizienz und verkürzt die Behandlungszeit bei Schlaganfallpatienten in kritischem Zustand.

Zur Fixierung unruhiger Patienten unter leichter Sedierung, um Bewegungsartefakte während des Eingriffs zu reduzieren.

Der Magnus OP-Tisch von Getinge eignet sich für den Einsatz bei der Behandlung von Notfall- und Traumapatienten. Er ist mit Philips Röntgensystemen synchronisiert, so dass alle Vorteile der modernen Lösungen von Philips genutzt werden können.
Die Neuro Suite bietet Optionen zur Optimierung der Arbeitsabläufe, dedizierte interventionelle neuroradiologische Tools sowie Zubehör zur Verbesserung der Verfahrensgenauigkeit und Verringerung der Strahlenexposition für Personal und Patienten während Aneurysmainterventionen. Die Tools unterstützen jeden Schritt des Verfahrens – von der Entscheidungsfindung, Führung und Behandlung bis zur Verifizierung der Behandlungsergebnisse.
Fall mit freundlicher Genehmigung von Prof. Laurent Spelle, Hôpital Bicêtre, Paris, Frankreich
Patient:

16. Juni 2014

19. Dezember 2014

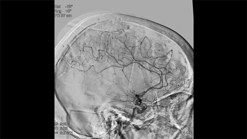
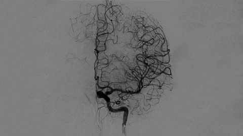
Klinische Anwender verlassen sich auf die klassische DSA-Bildgebung als wichtigste Informationsquelle während des gesamten Eingriffs.
Fall mit freundlicher Genehmigung von Dr. Vitor Mendes Pereira, UHN, University of Toronto, Toronto, Kanada
Patient:

19. Juli 2012

13. Oktober 2014

Klinische Anwender verlassen sich auf die klassische DSA-Bildgebung als wichtigste Informationsquelle während des gesamten Eingriffs.
Bei der Planung der Behandlung eines zerebralen Aneurysmas stehen Sie vor drei wichtigen Herausforderungen: 1) Erlangen von Einblicken in komplexe Gefäßstrukturen, 2) Genaue Beurteilung von Position, Größe und Hals des Aneurysmas, 3) Feststellen und Verifizieren, ob die Schwere der Läsion eine Intervention erfordert und ob genug Informationen zur Verfügung stehen, um einen geeigneten Behandlungsplan zu erstellen.

3D-RA liefert in wenigen Sekunden eine volumetrische Darstellung und unterstützt so die Beurteilung von Position, Größe, Hals und Schweregrad des Aneurysmas für die Behandlungsplanung. Darüber hinaus bietet 3D-RA Volumendaten mit hoher räumlicher Auflösung und gleicht Patientenbewegungen automatisch aus.

Sie können vorab aufgenommene CT- oder MR-Angioscans mit Live-Durchleuchtungsbildern überlagern, um Läsionsgrenzen und die zugehörige Vaskularisation für die Risikobeurteilung zu visualisieren. Die Verwendung bereits erfasster Daten hilft Ihnen dabei, Strahlendosis und Kontrastmittelmenge zu reduzieren.
Moderne Devices sind sehr klein und teilweise nur schwer in der Bildgebung darzustellen. Dies erschwert natürlich die Navigation und die genaue Positionierung der Devices. Gleichzeitig sollen arterielle Dissektionen und Spasmen vermieden und die Strahlendosis reduziert werden.

3D Roadmap verbessert die Darstellung überlappender Gefäße und unterstützt so die präzise Navigation von Führungsdraht und Katheter durch komplexe Gefäßstrukturen. Die Echtzeit-Kompensation von Gantry-, Tisch- und kleineren Patientenbewegungen sorgt für ein hohes Niveau an Präzision.

Durch Visualisierung und Quantifizierung von Blutflussmustern im Ursprungsgefäß und Aneurysmasack werden wichtige Informationen gewonnen, die beim Einsetzen von Flow Divertern und anderen Embolisationsgeräten Unterstützung bieten können.

Visualisierung von Läsionsgrenzen und der zugehörigen Vaskularisation ermöglichen eine genauere Navigation durch schwierige Pathologien bei gleichzeitiger Verringerung der Kontrastmittelmenge und Strahlendosis.

Diese moderne Doppelkontrast-Roadmap verbessert die Visualisierung überlappender Gefäße bei gleichzeitigem Management der Strahlenexposition. Sie kann individuell angepasst werden, um das Vordringen beim Platzieren des Coils sichtbar zu machen.
Nach der Aneurysmabehandlung werden die ordnungsgemäße Device-Positionierung und -Platzierung im Hinblick auf das Gefäß, den Aneurysmahals und den Aneurysmasack überprüft. AnerysmFlow ermöglicht die effiziente Messung der Wirksamkeit des eingesetzten Devices, sowie die Überprüfung auf mögliche arterielle Dissektionen, während sich der Patient noch auf dem Tisch befindet.

Sie können Veränderungen am Blutfluss im Aneurysma vor und nach der Behandlung durch Vergleich des Mittleren Aneurysma-Flussamplitudenverhältnisses (Mean Aneurysm Flow Amplitude Ratio, MAFA) vor und nach Einsetzen des Flow Diverters beurteilen.

VasoCT IA ist ein Erfassungsverfahren, das ein hochauflösendes XperCT mit Kontrastmittelinjektion kombiniert, um die Visualisierung von endovaskulären Implantaten, Flow Divertern und anderen Implantaten sowie der Gefäßmorphologie bis auf Perforatorebene zu verbessern. Es wird zunehmend für die Nachuntersuchung von mit Flow Diverter Implantaten behandelten Aneurysmen verwendet, um die Positionierung des Implantats zu überprüfen.

Die CT-artigen Bilder der Neuro Suite helfen bei der Beurteilung des Behandlungserfolgs und der Erkennung von Blutungen.
Die Neuro Suite mit Azurion bietet eine Reihe von Innovationen zur Optimierung der Arbeitsabläufe. Die kann Ihnen dabei helfen, die Behandlungszeit zu verkürzen und die Strahlendosis während Aneurysmainterventionen zu reduzieren.


Ermöglicht die Verringerung von Bewegungsartefakten während des Eingriffs.
You are about to visit a Philips global content page
Continue
FlexVision Pro ermöglicht Ihnen die volle Kontrolle über alle angeschlossenen Anwendungen, wie das Ultraschallsystem CX50x Matrix und alle interventionellen Tools, direkt am Tisch. So sparen Sie Zeit und vermeiden unnötige Raumwechsel in den und aus dem sterilen Bereich.
You are about to visit a Philips global content page
Continue
Diese Funktion hilft bei der Verringerung der Strahlendosis durch Positionieren des Systems oder Tisches unter Einblendung des letzten Bildes am "Last Image Hold". So können Sie den nächsten Durchlauf ohne Fluoroskopie vorbereiten.
You are about to visit a Philips global content page
Continue
Die ClarityIQ Technologie senkt die Patientendosis von Neuro-DSA1-Verfahren bei gleichbleibender Bildqualität um 75% gegenüber Systemen ohne ClarityIQ, und ermöglicht so die Behandlung verschiedenster Patienten. Die automatische ClarityIQ Bewegungskompensation entfernt Schädel- und Bewegungsartefakte, was bei der Platzierung kleiner Implantate an der Schädelbasis entscheidend ist.
You are about to visit a Philips global content page
Continue
Bietet Ihnen direkt am Tisch Zugriff auf und volle Kontrolle über präoperative diagnostische Scans, Patientendaten und Planungstools. So sparen Sie Zeit und vermeiden unnötige Raumwechsel in den und aus dem sterilen Bereich. Das Touchscreen-Modul Pro ermöglicht die Anzeige von Bildern und die Bedienung von Anwendungen direkt am Tisch mit der Bedienerfreundlichkeit eines Tablets.
You are about to visit a Philips global content page
Continue
Die ClarityIQ Technologie senkt die Patientendosis von Neuro-DSA1-Verfahren bei gleichbleibender Bildqualität um 75% gegenüber Systemen ohne ClarityIQ. Die automatische Bewegungskompensation entfernt Schädel- und Bewegungsartefakte, was bei der Platzierung kleiner Implantate an der Schädelbasis entscheidend ist.

Zero Dose Positioning hilft bei der Verringerung der Strahlendosis durch Positionieren des Systems oder Tisches unter Einblenden des Bildes am "Last Image Hold". So können Sie den nächsten Durchlauf ohne Fluoroskopie vorbereiten.

Zero Dose Positioning hilft Ihnen die Dosis zu reduzieren, indem es erlaubt, sowohl Tisch als auch System zu bewegen und in der Höhe zu verstellen, und dabei anhand des Last Image Hold strahlenfrei die neue Positionierung anzeigt. So können Sie den nächsten Durchlauf ohne Fluoroskopie vorbereiten.

ProcedureCards optimieren und standardisieren die Systemeinrichtung und helfen bei der Verringerung von Vorbereitungsfehlern. Wenn Sie die ProcedureCard „Aneurysma“ auswählen, wird das System auf gewünschte Weise eingerichtet. Krankenhausspezifische Aneurysmaprotokolle und/oder -checklisten können zu den ProcedureCards hinzugefügt und auf Monitoren angezeigt werden, um den konsistenten Arbeitsablauf zu unterstützen.

Ermöglicht die Verringerung von Bewegungsartefakten während des Eingriffs.
You are about to visit a Philips global content page
Continue