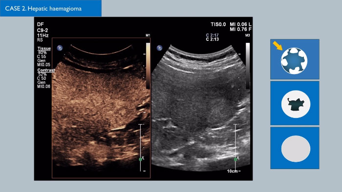
Ultraschall-Kontrastmittel können die Rolle des Ultraschalls verändern: Verstärkungsmuster von Leberläsionen können in Echtzeit untersucht werden, was zu einer schnelleren und fundierteren Diagnose führt.
Bei den Ultraschallsystemen von Philips ist der kontrastmittelverstärkte Ultraschall nahtlos in den Standard-Arbeitsablauf integriert und bietet so ein hohes Maß an Darstellungsdetail in der arteriellen, portalvenösen und Spätphase. Zusätzlich bieten moderne Technologien wie MaxVue, PureWave C9-2 Schallkopf, Fusionsbildgebung und die integrierte Quantifizierung über die Philips Q-Apps dem Anwender Sicherheit, sodass die Untersuchung der Leber ungeahnt einfach und intuitiv wird, ungeachtet der Komplexität der Untersuchung. Innovative Lösungen wie die xMATRIX 3D/4D-Technologie verändern die Beurteilung von Läsionen in der Leber ebenfalls und bieten eine schnelle und effektive Möglichkeit, Versorgungsgefäße sowie das Ansprechen auf eine Behandlung darzustellen. Es gibt viele spannende Entwicklungen im Bereich von CEUS; klicken Sie auf den Link, um Kontakt mit Ihrem zuständigen Philips Vertriebsteam aufzunehmen.
Möchten Sie mit einem Vertriebsmitarbeiter sprechen oder einfach auf dem Laufenden bleiben? Füllen Sie das Formular aus, und wir melden uns schnellstmöglich bei Ihnen.

Erfahren Sie, wie Sie bei noch so herausfordernden Patienten eine maximale Diagnosesicherheit erreichen.

Prof. Dirk-André Clevert des Klinikums der Universität München setzt bei der kontrastmittelverstärkten Bildgebung des Abdomens auf Philips.

Erfahren Sie, wie die Fusionsbildgebung mit automatischer Ortskalibration Ihnen hilft, Ihre CEUS-Verfahren zu optimieren.
Dr. Teresa Fontanilla, MD, Ph.D., vom Hospital Universitario Puerta de Hierro Majadahonda in Madrid erzählt von ihrer Erfahrung mit der Bildgebung per CEUS auf Ultraschallsystemen von Philips.

Philips bietet ein breites Sortiment an ergonomischen und leichten Schallköpfen in verschiedenen Konfigurationen, die eine verbesserte Eindringtiefe bei weniger Artefakten ermöglichen. Weitere Informationen zu unserem Schallkopfsortiment und genaue Anweisungen zu Pflege und Wartung erhalten Sie nachfolgend.


You are about to visit a Philips global content page
Continue