Wenn neurologische Notfälle eine diagnostische Bildgebung erforderten, war es bisher allgemeine Praxis in der Notaufnahme, CT- statt MRT-Untersuchungen durchzuführen, obwohl mit MRT informativere diagnostische Bilder von Rückenmarksschädigungen, Bandscheibenprotrusionen, Verletzungen des Weichteilgewebes und Schlaganfallvorläufern erstellt werden können.[1,2] Der Hauptgrund dafür ist, dass Notfälle zeitkritisch sind und CT grundsätzlich schneller als MRT ist. Das St. Joseph’s Hospital and Medical Center stellt dieses Paradigma jetzt infrage, indem es in seiner neurologischen Notaufnahme schnelle MRT-Scans anbietet und feststellt, dass damit fundiertere Diagnosen möglich sind.
John Karis, MD, ist Neuroradiologe und seit den frühen 2000er Jahren Leiter der Abteilung für MRT und Bildgebung des Gehirns am Barrow Neurological Institute beim St. Joseph's Hospital & Medical Center in Phoenix, Arizona. Dr. Karis hat seine Facharztausbildung an der Duke University School of Medicine absolviert.
„In der Vergangenheit wurden CT-Scans aufgrund ihrer Verfügbarkeit und kurzen Durchlaufzeiten durchgeführt“, erläutert Dr. Karis, „aber wenn MRT-Untersuchungen
Seit 2012 hat das St. Joseph’s Hospital and Medical Center in Phoenix, Arizona, USA, eine Notaufnahme speziell für neurologische Patienten. Im Jahr 2015 leitete John Karis, MD, vom Barrow Neurological Institute beim St Joseph-Klinikum ein Projekt für die Einführung eines MRT-Systems in die neurologische Notaufnahme. Er betonte den zusätzlichen prognostischen Wert eines Notfalls-MRT-Systems und die Bedeutung verringerter Strahlendosen insbesondere bei Patienten, bei denen ein CT-Scan nicht ideal war.
für die überweisenden Ärzte so effizient wie CT-Untersuchungen wären, würden diese in einem Teil der Fälle wohl MRT gegenüber CT vorziehen. Ein weiterer wesentlicher Grund für die Einführung von MRT in die Notaufnahme war die Verringerung der Anzahl von CT-Scans für Patienten unter 40 Jahren ohne signifikante akute Befunde wie akutem Schlaganfall.“ „Mit MRT-Untersuchungen lassen sich pathologische Veränderungen des Weichgewebes im Gehirn besser feststellen. Auf administrativer Ebene wurde die Entscheidung zum Großteil von der gesamten Strahlenbelastung der Notfallpatienten beeinflusst und wie diese durch die Einführung von MRT in die Notaufnahme reduziert werden könnte.“
„In der Vergangenheit wurden CT-Scans aufgrund ihrer Verfügbarkeit und kurzen Durchlaufzeiten durchgeführt“, erläutert Dr. Karis, „aber wenn MRT-Untersuchungen für die überweisenden Ärzte so effizient wie CT-Untersuchungen wären, würden diese in einem Teil der Fälle wohl MRT gegenüber CT vorziehen. Ein weiterer wesentlicher Grund für die Einführung von MRT in die Notaufnahme war die Verringerung der Anzahl von CT-Scans für Patienten unter 40 Jahren ohne signifikante akute Befunde wie akutem Schlaganfall.“ „Mit MRT-Untersuchungen lassen sich pathologische Veränderungen des Weichgewebes im Gehirn besser feststellen. Auf administrativer Ebene wurde die Entscheidung zum Großteil von der gesamten Strahlenbelastung der Notfallpatienten beeinflusst und wie diese durch die Einführung von MRT in die Notaufnahme reduziert werden könnte.“
Seit 2012 hat das St. Joseph’s Hospital and Medical Center in Phoenix, Arizona, USA, eine Notaufnahme speziell für neurologische Patienten. Im Jahr 2015 leitete John Karis, MD, vom Barrow Neurological Institute beim St Joseph-Klinikum ein Projekt für die Einführung eines MRT-Systems in die neurologische Notaufnahme. Er betonte den zusätzlichen prognostischen Wert eines Notfalls-MRT-Systems und die Bedeutung verringerter Strahlendosen insbesondere bei Patienten, bei denen ein CT-Scan nicht ideal war.
„Mit mDIXON TSE-Sequenzen ist es dank der T2-gewichteten Bilder auf Wasserbasis aus derselben Erfassung möglich, gleichzeitig morphologische Veränderungen aus den T2-gewichteten In-Phase-Bildern zu charakterisieren und ödematöse Veränderungen darzustellen. Auf diese Weise können anatomische und morphologische Befunde wie eine partielle oder komplette Bandruptur, ein knöcherner Ausriss oder ein Hämatom abgeklärt werden.“ „In Bezug auf die Beurteilung von Weichteilgewebe bietet mDIXON ähnliche Vorteile. Bei einer T2-gewichteten mDIXON TSE-Erfassung helfen die multiplen Kontraste zum Beispiel bei der Abklärung von pathologischen Befunden in Faserbündeln der peripheren Nerven, die auf anatomischen oder entzündlichen Veränderungen beruhen können.“ „Bei peripheren Gelenken erhalten wir mit mDIXON TSE eine gute Qualität in diffizilen Bereichen. Bilder mit Fettsuppression erscheinen vollständig homogen, auch bei einer großen Abdeckung mit 3,0 T – zum Beispiel beim Schulter- oder Beckengürtel – bzw. in den Gelenkflächen oder um Metallprothesen herum*, wo eine Fettsuppression mit STIR oder spektraler Suppression häufig unzureichend ist und zu Schwierigkeiten bei der Diagnose führt. Wenn ein diagnostisches Bild auf Anhieb richtig dargestellt wird, ist es nicht nötig, eine Sequenz zu wiederholen oder hinzuzufügen.“ „Mit mDIXON TSE-Sequenzen ist es dank der T2-gewichteten Bilder auf Wasserbasis aus derselben Erfassung möglich, gleichzeitig morphologische Veränderungen aus den T2-gewichteten In-Phase-Bildern zu charakterisieren und ödematöse Veränderungen darzustellen. Auf diese Weise können anatomische und morphologische Befunde wie eine partielle oder komplette Bandruptur, ein knöcherner Ausriss oder ein Hämatom abgeklärt werden.“ „In Bezug auf die Beurteilung von Weichteilgewebe bietet mDIXON ähnliche Vorteile. Bei einer T2-gewichteten mDIXON TSE-Erfassung helfen die multiplen Kontraste zum Beispiel bei der Abklärung von pathologischen Befunden in Faserbündeln der peripheren Nerven, die auf anatomischen oder entzündlichen Veränderungen beruhen können.“
Im Sinne der Effizienz verbunden mit Funktionalität auf dem Stand der Technik zur Unterstützung einer fundierten Diagnose wurde die Entscheidung getroffen, ein Philips Ingenia 1.5T Magnetresonanzsystem mit breiter Magnetöffnung in die neue Konfiguration der Notaufnahme aufzunehmen, damit praktisch alle Patienten mit Bildgebungsverfahren untersucht werden könnten.
Zur Minimierung der Zeit für die Durchführung von Scans wurden schnelle MRT-Untersuchungsprotokolle (ExamCards) entwickelt, mit denen sich die gesamte Scan-Dauer bei manchen Untersuchungen auf weniger als 10 Minuten reduzieren ließ. Verfahren wie mDIXON (modifiziertes DIXON-Verfahren) werden für die robuste Erfassung fettfreier MR-Bilder in einer hektischen Notfallumgebung verwendet.

Der Barrow Neuroscience Tower am St. Joseph-Klinikum wurde im Jahr 2006 eröffnet.
„mDIXON TSE wird in unserer Notaufnahme ausgiebig für die Wirbelsäulenbildgebung eingesetzt“, führt Dr. Karis aus. „Besonders vorteilhaft ist, dass dieses Verfahren im Hinblick auf suszeptibilitätsbezogene Probleme sehr stabil ist, die häufig bei klassischen spektralen, fettgesättigten Bildern auftreten. Im Wesentlichen treten derartige Probleme beim mDIXON-Verfahren überhaupt nicht auf. Wir sind wirklich froh, in unserer Notaufnahme über die fettfreie Bildgebung des mDIXON-Verfahrens zu verfügen.“
„Für die routinemäßige, kontrastmittelfreie Untersuchung der Brust- und Halswirbelsäule führen wir zum Beispiel eine mDIXON T2-TSE-Sequenz durch, die uns zwei Ergebnisse liefert: die T2-gewichteten Bilder auf Fett- und Wasserbasis sowie die sagittalen T2-gewichteten Bilder auf reiner Wasserbasis. Anschließend erfolgt noch eine axiale Gradientenecho-Untersuchung.“

Routineuntersuchung der Halswirbelsäule
Dieser Patient wurde mit Kopfschmerzen vorstellig, die sich bei einer Flexion des Nackens verschlimmerten, und wir sehen hier eine Chiari-Malformation vom Typ I mit niedrig liegenden Kleinhirntonsillen sowie degenerativen zervikalen, thrombolytischen Veränderungen.
„In Bezug auf die Beurteilung von Weichteilgewebe bietet mDIXON ähnliche Vorteile. Bei einer T2-gewichteten mDIXON TSE-Erfassung helfen die multiplen Kontraste zum Beispiel bei der Abklärung von pathologischen Befunden in Faserbündeln der peripheren Nerven, die auf anatomischen oder entzündlichen Veränderungen beruhen können.“ „Bei peripheren Gelenken erhalten wir mit mDIXON TSE eine gute Qualität in diffizilen Bereichen. Bilder mit Fettsuppression erscheinen vollständig homogen, auch bei einer großen Abdeckung mit 3,0 T – zum Beispiel beim Schulter- oder Beckengürtel – bzw. in den Gelenkflächen oder um Metallprothesen herum*, wo eine Fettsuppression mit STIR oder spektraler Suppression häufig unzureichend ist und zu Schwierigkeiten bei der Diagnose führt. Wenn ein diagnostisches Bild auf Anhieb richtig dargestellt wird, ist es nicht nötig, eine Sequenz zu wiederholen oder hinzuzufügen.“ „Mit mDIXON TSE-Sequenzen ist es dank der T2-gewichteten Bilder auf Wasserbasis aus derselben Erfassung möglich, gleichzeitig morphologische Veränderungen aus den T2-gewichteten In-Phase-Bildern zu charakterisieren und ödematöse Veränderungen darzustellen. Auf diese Weise können anatomische und morphologische Befunde wie eine partielle oder komplette Bandruptur, ein knöcherner Ausriss oder ein Hämatom abgeklärt werden.“ „In Bezug auf die Beurteilung von Weichteilgewebe bietet mDIXON ähnliche Vorteile. Bei einer T2-gewichteten mDIXON TSE-Erfassung helfen die multiplen Kontraste zum Beispiel bei der Abklärung von pathologischen Befunden in Faserbündeln der peripheren Nerven, die auf anatomischen oder entzündlichen Veränderungen beruhen können.“
Eine Reihe von Protokollen wurde ausgearbeitet, um sicherzustellen, dass überweisende Ärzte die am besten geeignete MRT-Untersuchung anfordern. Die optimierten MRT-Protokolle umfassen auch die kontrastmittelverstärkte 3D-Bildgebung, die es den Neurochirurgen ermöglicht, während eines stereotaktischen Eingriffs im OP komfortabel auf die isotropen Daten zuzugreifen.
Nach der MRT-Untersuchung werden die vorläufigen Berichte den überweisenden Ärzten schneller als zuvor bereitgestellt, weil dies den Anforderungen der Ärzte entspricht, die Entscheidungen zur Behandlung des Patienten treffen müssen. Die Nutzung eines neu konzipierten Berichterstellungsprozesses führt zu Gesamtdurchlaufzeiten, die denen von CT-Untersuchungen ähneln. Eine weitere, neu eingeführte Änderung besteht darin, dass MRT-Sicherheits-Screening-Daten aus dem Krankenhaus-Informationssystem abgerufen werden, was circa 30 Minuten einspart.




Der MR-Raum mit Ingenia 1.5T
Der Umstieg weg von einer überwiegend CT-basierten Notaufnahme begann mit der Schulung von Ärzten über die Vorteile von MRT in Notfallszenarien, die Indikationen für einen Einsatz von MRT und die Bedeutung zielgerichteter Untersuchungen anstelle breiter angelegter, nicht zielgerichteter Untersuchungen. Ein gewisser Widerstand gegen die Umstellung war erwartet wurden, da sich diese auf gewohnte Arbeitsabläufe auswirken würde. Aus diesem Grund wurde ausreichend Zeit für die Schulung von einweisenden Ärzten, Neuroradiologen und Neurochirurgen sowie Assistenzärzten und Ärzten in Weiterbildung eingeplant. Allerdings wurde weniger Zeit benötigt als erwartet worden war, weil die Betroffenen bereits mit MRT vertraut waren und die Informationen über die 10-minütige MRT-Untersuchungsdauer mit Interesse aufnahmen.
„Wir brachten vor, dass die MRT-Untersuchungsdauer derjenigen bei CT-Scans ähnelt, was für sie ein sehr wichtiger Gesichtspunkt ist“, erläutert Dr. Karis. „Ein anderer wesentlicher Punkt ist, dass der MRT-Scanner ausschließlich für zielgerichtete Untersuchungen zur Verfügung steht. Das bedeutet, dass die überweisenden Ärzte klar definieren müssen, was sie überprüfen möchten. Eine feste Verpflichtung auf ein kürzeres Zeitfenster muss vorliegen, andernfalls funktioniert der Prozess nicht.“
„Erfahrene Neuroradiologen übernahmen die neue Vorgehensweise umgehend – sie kannten den Nutzen von MRT und lernten so ziemlich schnell, nur die drei oder vier Sequenzen für ihre Diagnose zu verwenden. Tatsächlich wandte sich einer an mich und fragte: ‚Warum machen wir das eigentlich nicht grundsätzlich so für alle unsere Patienten?‘ In unserer Einrichtung ist dies natürlich nicht realistisch [u.a. aus Gründen des Bedarfs, der Verfügbarkeit und der Fälle, mit denen wir es zu tun haben], aber es zeigt das Vertrauen in unseren Ansatz.“
„Zu den wichtigsten notärztlichen Entscheidungen gehören die Aufnahme oder Entlassung von Patienten. Ärzte, die durch eine MRT-Untersuchung besser informiert sind, können diese Entscheidungen mit größerer Sicherheit treffen. Über die Umstellung auf Überprüfungen mit einem höheren Erkennungspotenzial für Probleme gelangen die Ärzte zu einer fundierteren und sichereren Diagnose.“
„Nach meiner Erfahrung übertrifft ein negatives MRT-Ergebnis den Nutzen eines negativen CT-Ergebnisses wegen der hohen Sensitivität für Abweichungen bei weitem. Negative MRT-Ergebnisse geben den Ärzten größere Entscheidungssicherheit im Hinblick auf Entlassungen, verringern potenziell die Anzahl der Neuaufnahmen im Zweifelsfall und ermöglichen es der Einrichtung, Kosten einzusparen.“
„Es werden weit mehr Entscheidungen für Entlassungen als für Neuaufnahmen getroffen. Im Hinblick auf diese Entscheidungen gibt es meiner Meinung nach keinen wertvolleren Anhaltspunkt als ein negatives MRT-Untersuchungsergebnis bezüglich neurologischer Störungen.“
„Das einzige nicht vorhergesehene Problem“, sagt Dr. Karis „bestand in der Tendenz, weiterhin nicht zielgerichtete Untersuchungen durchzuführen, insbesondere durch weniger erfahrene Mitarbeiter und neue Assistenzärzte in der Neurologie und Neurochirurgie. Weil die MRT-Bildqualität so hervorragend ist, ist es einfacher, eine Reihe von Überprüfungen anzufordern. Die Untersuchungsdauer überschreitet dann allerdings 10 Minuten erheblich.“
Die Notärzte können nur Untersuchungen aus einem vorgegebenen Satz an Untersuchungsprotokollen – wie auf der Protokollübersicht angegeben – anfordern, wodurch die für MR-Scans benötigte Zeit minimiert wird. Die Protokollübersicht enthält Empfehlungen darüber, welche Untersuchung je nach Situation anzufordern ist (d.h. MRT oder CT, mit oder ohne Kontrastmittel), und weist die Ärzte an, zielgerichtete Untersuchungen anzufordern. Obwohl der Prozess mittlerweile implementiert wurde, bleibt die Schulung nach wie vor wichtig: So werden zum Beispiel neue Assistenzärzte in der Neurologie über den Einsatz des Notfall-MRT-Scanners, dessen Gebrauch und die Bedeutung zielgerichteter Untersuchungen informiert. „Meiner Meinung nach ist es entscheidend, die MRT-Untersuchung als Notfallüberprüfung zu etablieren“, erklärt Dr. Karis. „Das ist der Schlüssel. Wenn dieses Konzept nicht vermittelt werden kann, können die Betroffenen nicht davon überzeugt werden, dass es sich um eine Notfallüberprüfung handelt.“

„Wenn Patienten bisher in der Notaufnahme einer CT-Untersuchung unterzogen wurden, war es durchaus üblich, dass sie anschließend einen MRT-Scan benötigten. In den vier Monaten, in denen ich nun Daten für diese Studie erfasse, ist es jedoch nicht einmal vorgekommen, dass ein Patient, der in der Notaufnahme mit MRT untersucht wurde, für eine erneute Bildgebung vorstellig werden musste, wahrscheinlich weil die Protokolle so robust sind. In unserer Einrichtung sind die häufigsten Gründe für eine erneute Vorstellung Patienten mit komplizierten Fällen, die spezielle Erfassungstypen erfordern.“
„Unsere Ergebnisse zeigen, dass eine dedizierte MRT-Nutzung in der Notaufnahme effektiv umgesetzt werden kann. Die Untersuchungszeiten mit MRT lagen gleichauf mit den CT-Zeiten. Obwohl die MRT-Untersuchungsprotokolle gekürzt wurden, erbrachten diese robusten und gleichzeitig schnellen Prozesse Bilder mit guter Qualität, verbesserten den Arbeitsablauf und machten wiederholte Scans und Folge-Scans fast komplett verzichtbar. Wir sind also auf dem Weg, auf Anhieb die richtigen Ergebnisse zu erzielen“, meint Dr. Karis.


Laut Dr. Karis hängt eine erfolgreiche Einbindung der MRT in die Notaufnahme von mehreren Faktoren ab. „Zunächst ist es notwendig, dass sich der MRT-Raum in der Nähe der Notaufnahme befindet, damit das Krankenhauspersonal die Notaufnahme nicht längere Zeit verlassen muss, um Patienten in andere Abteilungen zu begleiten. Darüber hinaus müssen die Untersuchungen effizient sein, damit sie innerhalb von maximal 10 Minuten durchgeführt werden können. Außerdem müssen für das jeweils vorliegende Problem zielgerichtete Untersuchungen angeordnet werden. Unspezifische Untersuchungen sind zu vermeiden. Insbesondere Assistenzärzte in der Neurologie und Neurochirurgie in der
Nachtschicht müssen die verkürzten Protokolle kennen, damit eine Anforderung zusätzlicher Scans vermieden wird, die zu längeren Untersuchungszeiten führen und die Arbeitsabläufe behindern können.“ Dr. Karis empfiehlt vor der Umstellung eine umfassende Bestandsaufnahme. „Alles muss berücksichtigt werden: von der metallischen Abschirmung über die Patientenversorgung bis zum Transport und der Nähe zur Notaufnahme. Nur so kann diese Umstellung gelingen.“
Laut Dr. Karis hängt eine erfolgreiche Einbindung der MRT in die Notaufnahme von mehreren Faktoren ab. „Zunächst ist es notwendig, dass sich der MRT-Raum in der Nähe der Notaufnahme befindet, damit das Krankenhauspersonal die Notaufnahme nicht längere Zeit verlassen muss, um Patienten in andere Abteilungen zu begleiten. Darüber hinaus müssen die Untersuchungen effizient sein, damit sie innerhalb von maximal 10 Minuten durchgeführt werden können. Außerdem müssen für das jeweils vorliegende Problem zielgerichtete Untersuchungen angeordnet werden. Unspezifische Untersuchungen sind zu vermeiden. Insbesondere Assistenzärzte in der Neurologie und Neurochirurgie in der Nachtschicht müssen die verkürzten Protokolle kennen, damit eine Anforderung zusätzlicher Scans vermieden wird, die zu längeren Untersuchungszeiten führen und die Arbeitsabläufe behindern können.“ Dr. Karis empfiehlt vor der Umstellung eine umfassende Bestandsaufnahme. „Alles muss berücksichtigt werden: von der metallischen Abschirmung über die Patientenversorgung bis zum Transport und der Nähe zur Notaufnahme. Nur so kann diese Umstellung gelingen.“
Am St. Joseph’s Hospital and Medical Center liefert das MRT-System in der Notaufnahme auf effiziente Weise hochwertige MR-Bilder, die den Ärzten helfen, fundierte diagnostische Entscheidungen zu treffen und die Notwendigkeit einer Weiterverfolgung schlüssiger zu beurteilen. Das dedizierte MRT-System in der Notaufnahme hat zu kurzen Untersuchungszeiten, einer effizienten Patientenversorgung und einer erheblichen Reduzierung der Strahlendosen geführt.
Für Dr. Karis bestehen die nächsten Ziele für die neurologische Notaufnahme in der Umstellung der Untersuchungen für akute Schlaganfall- und TIA-Patienten von CT auf MRT, was eine alternative Managementoption für diese Patienten darstellt. Außerdem wird derzeit die Kooperation mit anderen Abteilungen in die Wege geleitet, was den Nutzen zielgerichteter Untersuchungen mit dem MRT-System in der Notaufnahme noch erhöht. Diese Verbesserungen im Arbeitsablauf können in Kombination mit kürzeren Durchlaufzeiten die Untersuchungsdauer weiter reduzieren.
2. Grimm JM, Schindler A, Schwarz F, Cyran CC, Bayer-Karpinska A, Freilinger T, Yuan C, Linn J, Trelles M, Reiser MF, Nikolaou K, Saam T. Computed tomography angiography vs 3 T black-blood cardiovascular magnetic resonance for identification of symptomatic carotid plaques. J Cardiovasc Magn Reson. 2014;16:84.
Literatur
1. Singh R, Kumar RR, Setia N, Magu S. A prospective study of neurological outcome in relation to findings of imaging modalities in acute spinal cord injury. Asian J Neurosurg. 2015;10:181-9.
Aus den Ergebnissen von Fallstudien kann nicht auf Ergebnisse in anderen Fällen geschlossen werden. Die Ergebnisse in anderen Fällen können abweichen.
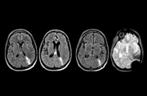
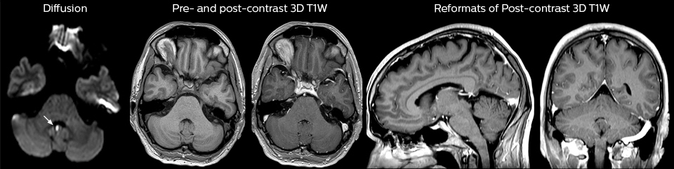
Klinische Fallbeispiele
You are about to visit a Philips global content page
Continue