Bei jeder Art neurologischer MRT-Untersuchungen ist es entscheidend, so viele Informationen wie möglich zu erfassen, um die diagnostische Sicherheit zu erhöhen. Unabhängig davon, ob es sich um MS, einen Gehirntumor oder einen Schlaganfall handelt – die Untersuchung muss schnell und effizient sein und detaillierte Bilder liefern. Das System Ingenia 3.0T eignet sich aufgrund des hohen Signal-Rausch-Verhältnisses, der guten räumlichen Auflösung und der Flexibilität für viele unterschiedliche Protokolle ideal für eine anspruchsvolle Bildgebung des Gehirns. Fondation Rothschild (Paris, Frankreich) ist ein Krankenhaus für die Tertiärversorgung, das auf Kopf- und Halserkrankungen spezialisiert ist. Der Neuroradiologe Julien Savatovsky, MD, nutzt das Ingenia 3.0T seit 2012, um die Bildqualität und die Untersuchungszeiten für die verschiedensten neurologischen Anwendungen zu optimieren.

Julien Savatovsky, MD, ist Neuroradiologe. Sein klinisches Interessengebiet umfasst die Bildgebung bei Gehirntumoren, entzündliche Erkrankungen, HIV-assoziierte Erkrankungen des Gehirns, vaskuläre CT für Kopf und Hals und die Neuroophtalmologie. Er wurde an der Université Pierre et Marie Curie, Paris, ausgebildet, wo er auch als Assistenzarzt tätig war und sich in einer Unterdisziplin als Facharzt qualifizierte. Später absolvierte er eine Fellowship-Weiterbildung am Krankenhaus Pitié-Salpêtrière.
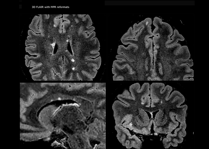
Wenn ein Verdacht auf multiple Sklerose (MS) besteht, muss das Klinikteam schnell zu einer Diagnose kommen, damit die Behandlung so bald wie möglich beginnen kann. „Eine Schwierigkeit bei der Bildgebung ist, dass MS-Läsionen im Gehirn und in der Wirbelsäule sehr klein sein können“, erläutert Dr. Savatovsky. „Wir benötigen eine präzise Bildgebung, um exakt zu bestimmen, wo sich die Läsion befindet, das heißt, wir brauchen hochwertige Bilder in sehr hoher Auflösung, vorzugsweise in 3D[1]. Wir müssen uns sicher sein, ob eine hohe T2-Signalintensität auf MS hinweist oder lediglich aspezifisch ist. Außerdem wünschen wir uns eine sehr gute Visualisierung von aktiven Läsionen.“
„Ingenia 3.0T liefert uns eine sehr gute Bildqualität mit hohem Signal-Rausch-Verhältnis, auch wenn wir die Auflösung ausreizen. Bei FLAIR-Bildern haben wir zum Beispiel eine isotrope Auflösung von 0,9 mm. Ingenia ermöglicht uns die Nutzung von 3D-T1-TSE mit BrainView, was eine bessere Empfindlichkeit als die 2D-Spinecho-Bildgebung[2] und die 3D-Gradientenecho-Bildgebung aufweist. Ingenia liefert auch hoch reproduzierbare Untersuchungen, was bei der MS-Bildgebung wichtig ist, damit Folgeuntersuchungen zu verschiedenen Zeitpunkten auf dieselbe Weise durchgeführt werden.“
Für die MS-Bildgebung im Gehirn nutzt Dr. Savatovsky 3D-FLAIR als Basissequenz, um die Läsionen darzustellen sowie die jeweilige Situation und die Läsionsbelastung zu beurteilen. „Wir zählen die Läsionen an jeder Stelle, um zu bestimmen, ob die Kriterien der Erkrankung erfüllt sind. Dafür wird eine T2-gewichtete Sequenz verwendet, weil unsere Neurologen diese gewohnt sind. Wir vergleichen die Läsionsbelastung unter FLAIR mit einer 3D-T1-Postkontrastsequenz, damit wir feststellen können, ob die Läsionen alt oder neu sind. In der Regel verabreichen wir das Kontrastmittel vor der Aufnahme des Patienten in das System, weil sich dadurch die Untersuchungsdauer verkürzt und die Visualisierung aktiver Läsionen möglich wird, die im Allgemeinen nach mehreren Minuten deutlicher dargestellt werden. Wenn sich eine differenzielle Diagnose als schwierig herausstellt, nutzen wir weitere Sequenzen wie die Suszeptibilitätsbildgebung, da einige fokale MS-Läsionen in der Mitte eine kleine Ader aufweisen[3].“
„Für eine MS-Bildgebung in der Wirbelsäule beinhaltet die Basisuntersuchung eine sagittale T2-gewichtete und eine sagittale T1-gewichtete Postkontrastsequenz in der gesamten Wirbelsäule. Diese erfolgen in zwei Stapeln und mittels dünner Schichten, zum Beispiel 2 mm ohne Lücke. Wie im Gehirn wird mit der T2-gewichteten Postkontrastsequenz die gesamte Läsionsbelastung visualisiert und sie hilft bei der Beurteilung, ob eine Läsion alt oder neu ist. Gelegentlich fügen wir eine T1-Inversion Recovery hinzu, die eine sehr hohe Empfindlichkeit besitzt, wenn wir mit T2 keine Läsionen finden“, so Dr. Savatovsky weiter. „Wenn wir zusätzlich eine Kontrastverstärkung außerhalb der Wirbelsäule feststellen, handelt es sich üblicherweise nicht um MS, sondern um eine andere Entzündungsart.“
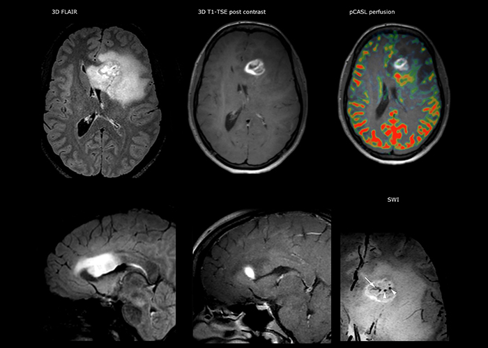
Dr. Savatovsky nutzt fünf oder sechs verschiedene ExamCards für die Bildgebung einer Raumforderung oder eines bekannten Tumors im Gehirn. „Wenn eine Raumforderung im Gehirn vorliegt, versuchen wir diese zu charakterisieren, um dem Neurologen die Informationen zur Festlegung des nächsten Schrittes zu liefern bzw. den Neurochirurgen bei der Vorbereitung eines Eingriffs oder einer Biopsie zu unterstützen. Für die Untersuchung nach einer Behandlung verfügen wir je nach Therapieform über verschiedene Protokolle und wir verfolgen spezifische Ansätze bei intra- und extraaxialen Tumoren.“ „Dies ist die umfassendste Untersuchung, die wir durchführen. Ingenia liefert aufgrund der guten räumlichen Auflösung und des hohen Signal-Rausch-Verhältnisses alle diese Daten. Außerdem ist das System so flexibel, dass damit kürzere Sequenzen möglich sind. Somit sind wir in der Lage, eine sehr umfangreiche Untersuchung in begrenzter Zeit vorzunehmen.“
„Die größte Herausforderung besteht in der sachgemäßen Charakterisierung der Läsion und der angemessenen Information des Chirurgen, zum Beispiel was die Position der Gefäße und der funktionellen Bereiche betrifft. Gelegentlich ist eine sehr umfassende Untersuchung notwendig, beispielsweise wenn eine Raumforderung an einem anderen Krankenhaus festgestellt wurde und der Patient anschließend an uns überwiesen wurde. Wir führen dann eine Charakterisierung der Läsion und eine präoperative Bildgebung in einer Untersuchung durch, d.h. sowohl eine morphologische als auch eine funktionelle Beurteilung. Für die morphologische Beurteilung verwenden wir eine T1-gewichtete Prä- und Postkontrastbildgebung sowie FLAIR für die Beurteilung der Infiltration und Diffusion. Für die funktionelle Charakterisierung führen wir eine Perfusionsbildgebung, eine MR-Spektroskopie und eine suszeptibilitätsgewichtete Bildgebung durch, um Mikrogefäße oder Mikroblutungen innerhalb der Läsion aufzuspüren[4]. Für die präoperative Untersuchung führen wir eine spezifische morphologische Bildgebung durch, die mit dem Navigationssystem kompatibel ist. Je nach Position des Tumors erfolgt fMRT oder TDI.“
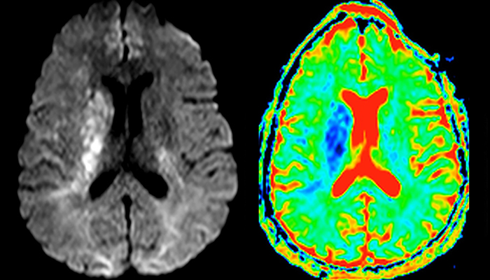
„In Frankreich werden Schlaganfälle in der Regel per MRT und nicht per CT untersucht, auch bei der Notfallbehandlung.“ „In Frankreich erfolgt die Bildgebung bei Schlaganfällen in der Regel per MRT, nicht per CT, auch bei der Notfallbehandlung. Das liegt daran, dass wir mit der MRT eine Ischämie in der akuten Phase direkt darstellen, aber auch Differenzialdiagnosen wie MS und Hämatom ausschließen können. Außerdem ist es uns möglich, die intrakraniellen und extrakraniellen Gefäße im Laufe derselben Untersuchung zu beurteilen“, sagt Dr. Savatovsky.
Die erste Herausforderung bei der Magnetresonanztomographie betrifft die Geschwindigkeit. Die Patienten werden in der Regel aus einem Rettungswagen in den MRT-Vorbereitungsraum gebracht und die Einrichtung erfolgt an einem separaten Platz außerhalb des Technikraums. „Der venöse Zugang wird während der neurologischen Untersuchung gelegt. Wenn es der zeitliche Abstand von den ersten Symptomen erlaubt, dass der Patient eine Thrombolyse erhält, führen wir eine sehr schnelle Untersuchung durch, die üblicherweise etwa 11 Minuten dauert, einschließlich der Pre-Scans. Bei einem transienten ischämischen Schlaganfall erfolgt im Regelfall zusätzlich eine ASL-Perfusionsbildgebung, weil bei manchen Symptomen mit negativer Diffusion ASL eine vaskuläre Ursache anzeigt.“
„Ingenia bietet eine große Flexibilität bei der Parametereinstellung, d.h., wir können eine Sequenz beliebig abstimmen“, erklärt Dr. Savatovsky. „Bei einer Schlaganfalluntersuchung nutzen wir zum Beispiel eine FLAIR-Sequenz von etwa zwei Minuten anstelle der vierminütigen Sequenz, die wir bei MS verwenden. Die Diffusionsbildgebung dauert 30 Sekunden, der T2*-gewichtete Scan ebenfalls 30 Sekunden und die Scan-Dauer bei der Angiographie beträgt weniger als eine Minute. Ingenia ist in dieser Situation ein großartiger Scanner. Auch bei diesen schnellen Sequenzen erzielen wir hochwertige Bilder mit einem guten Signal-Rausch-Verhältnis. Wenn wir anhand der ersten Sequenz feststellen, dass es sich nicht um einen ischämischen Schlaganfall, sondern um einen hämorrhagischen Schlaganfall handelt, können wir zu einer zeitaufgelösten Angiographie wechseln, um nach vaskulären Malformationen und einer Venenthrombose zu suchen.“
„Mit mDIXON TSE-Sequenzen ist es dank der T2-gewichteten Bilder auf Wasserbasis aus derselben Erfassung möglich, gleichzeitig morphologische Veränderungen aus den T2-gewichteten In-Phase-Bildern zu charakterisieren und ödematöse Veränderungen darzustellen. Auf diese Weise können anatomische und morphologische Befunde wie eine partielle oder komplette Bandruptur, ein knöcherner Ausriss oder ein Hämatom abgeklärt werden.“ „In Bezug auf die Beurteilung von Weichteilgewebe bietet mDIXON ähnliche Vorteile. Bei einer T2-gewichteten mDIXON TSE-Erfassung helfen die multiplen Kontraste zum Beispiel bei der Abklärung von pathologischen Befunden in Faserbündeln der peripheren Nerven, die auf anatomischen oder entzündlichen Veränderungen beruhen können.“ „Bei peripheren Gelenken erhalten wir mit mDIXON TSE eine gute Qualität in diffizilen Bereichen. Bilder mit Fettsuppression erscheinen vollständig homogen, auch bei einer großen Abdeckung mit 3,0 T – zum Beispiel beim Schulter- oder Beckengürtel – bzw. in den Gelenkflächen oder um Metallprothesen herum*, wo eine Fettsuppression mit STIR oder spektraler Suppression häufig unzureichend ist und zu Schwierigkeiten bei der Diagnose führt. Wenn ein diagnostisches Bild auf Anhieb richtig dargestellt wird, ist es nicht nötig, eine Sequenz zu wiederholen oder hinzuzufügen.“ „Mit mDIXON TSE-Sequenzen ist es dank der T2-gewichteten Bilder auf Wasserbasis aus derselben Erfassung möglich, gleichzeitig morphologische Veränderungen aus den T2-gewichteten In-Phase-Bildern zu charakterisieren und ödematöse Veränderungen darzustellen. Auf diese Weise können anatomische und morphologische Befunde wie eine partielle oder komplette Bandruptur, ein knöcherner Ausriss oder ein Hämatom abgeklärt werden.“ „In Bezug auf die Beurteilung von Weichteilgewebe bietet mDIXON ähnliche Vorteile. Bei einer T2-gewichteten mDIXON TSE-Erfassung helfen die multiplen Kontraste zum Beispiel bei der Abklärung von pathologischen Befunden in Faserbündeln der peripheren Nerven, die auf anatomischen oder entzündlichen Veränderungen beruhen können.“
„Jede Klinik arbeitet anders, aber für mich umfasst das ideale Schlaganfallprotokoll die diffusionsgewichtete Bildgebung, die FLAIR- und die schnelle suszeptibilitätsgewichtete Bildgebung“, sagt Dr. Savatovsky. „Unsere schnelle suszeptibilitätsgewichtete Bildgebung dauert nur 50 Sekunden, sie ist also genauso schnell wie die T2*-gewichtete Bildgebung. Damit werden Blutungen, aber auch Koagulationen dargestellt. Wir führen zusätzlich eine 3D-MR-Angiographie durch, die Informationen über zervikale und zerebrale Gefäße liefert. Wenn die Patienten keine sofortige Behandlung benötigen oder wenn zusätzliche Informationen erforderlich sind, um über die Therapie zu entscheiden, nehmen wir außerdem eine Perfusionsbildgebung und eine T1-gewichtete Postkontrastbildgebung vor.“
Das Krankenhaus nutzt die ds Kopfspule mit 32 Kanälen für jeden Untersuchungstyp, der nicht den unteren Halsbereich umfasst. „Der größte Vorteil dieser Spule ist das hervorragende Signal-Rausch-Verhältnis. Es ermöglicht die Verwendung höherer Beschleunigungsfaktoren als bei der Standardspule.“
„In manchen Fällen ist die hohe Auflösung dieser Spule wirklich notwendig. Wir streben zum Beispiel eine sehr gute räumliche Auflösung an, wenn wir in einem Fall, der Kopf und Hals betrifft, nach einer kleinen Läsion oder einem kleinen vaskulären Konflikt suchen. Dies gilt auch für bildgebende Untersuchungen des inneren Gehörgangs oder des fünften Kranialnervs. Bei Erkrankungen des Gehirns ist es immer besser, mehr Details zu erfassen. Je mehr Informationen wir haben, desto größer ist die Diagnosesicherheit.“
Literatur 1. Mills RJ, Young CA, Smith ET. 3D MRI in multiple sclerosis: a study of three sequences at 3 T. Br J Radiol. 2007 May;80(953):307-20. Epub 2006 Sep 27. 2. Hodel J, Outteryck O, Ryo E, Bocher AL, Lambert O, Chéchin D, Zéphir H, Lacour A, Pruvo JP, Vermersch P, Leclerc X. Accuracy of postcontrast 3D turbo spin-echo MR sequence for the detection of enhanced inflammatory lesions in patients with multiple sclerosis. AJNR Am J Neuroradiol. 2014 Mar;35(3):519-23. Epub 2013 Nov 7 https://www.ncbi.nlm.nih.gov/pubmed/24200899 3. Sati P, George IC, Shea CD, Gaitán MI, Reich DS. FLAIR*: a combined MR contrast technique for visualizing white matter lesions and parenchymal veins. Radiology. 2012 Dec;265(3):926-32. Epub 2012 Oct 16. 4. Kickingereder P, Wiestler B, Sahm F, Heiland S, Roethke M, Schlemmer HP, Wick W, Bendszus M, Radbruch A. Primary Central Nervous System Lymphoma and Atypical Glioblastoma: Multiparametric Differentiation by Using Diffusion-, Perfusion-, and Susceptibility-weighted MR Imaging. Radiology. 2014 May 3:132740. [Epub vor dem Druck] „Mit mDIXON TSE-Sequenzen ist es dank der T2-gewichteten Bilder auf Wasserbasis aus derselben Erfassung möglich, gleichzeitig morphologische Veränderungen aus den T2-gewichteten In-Phase-Bildern zu charakterisieren und ödematöse Veränderungen darzustellen. Auf diese Weise können anatomische und morphologische Befunde wie eine partielle oder komplette Bandruptur, ein knöcherner Ausriss oder ein Hämatom abgeklärt werden.“ „In Bezug auf die Beurteilung von Weichteilgewebe bietet mDIXON ähnliche Vorteile. Bei einer T2-gewichteten mDIXON TSE-Erfassung helfen die multiplen Kontraste zum Beispiel bei der Abklärung von pathologischen Befunden in Faserbündeln der peripheren Nerven, die auf anatomischen oder entzündlichen Veränderungen beruhen können.“ „Bei peripheren Gelenken erhalten wir mit mDIXON TSE eine gute Qualität in diffizilen Bereichen. Bilder mit Fettsuppression erscheinen vollständig homogen, auch bei einer großen Abdeckung mit 3,0 T – zum Beispiel beim Schulter- oder Beckengürtel – bzw. in den Gelenkflächen oder um Metallprothesen herum*, wo eine Fettsuppression mit STIR oder spektraler Suppression häufig unzureichend ist und zu Schwierigkeiten bei der Diagnose führt. Wenn ein diagnostisches Bild auf Anhieb richtig dargestellt wird, ist es nicht nötig, eine Sequenz zu wiederholen oder hinzuzufügen.“ „Mit mDIXON TSE-Sequenzen ist es dank der T2-gewichteten Bilder auf Wasserbasis aus derselben Erfassung möglich, gleichzeitig morphologische Veränderungen aus den T2-gewichteten In-Phase-Bildern zu charakterisieren und ödematöse Veränderungen darzustellen. Auf diese Weise können anatomische und morphologische Befunde wie eine partielle oder komplette Bandruptur, ein knöcherner Ausriss oder ein Hämatom abgeklärt werden.“ „In Bezug auf die Beurteilung von Weichteilgewebe bietet mDIXON ähnliche Vorteile. Bei einer T2-gewichteten mDIXON TSE-Erfassung helfen die multiplen Kontraste zum Beispiel bei der Abklärung von pathologischen Befunden in Faserbündeln der peripheren Nerven, die auf anatomischen oder entzündlichen Veränderungen beruhen können.“
https://www.ncbi.nlm.nih.gov/pubmed/17005516
https://www.ncbi.nlm.nih.gov/pubmed/23074257
https://www.ncbi.nlm.nih.gov/pubmed/24814181
Aus den Ergebnissen von Fallstudien kann nicht auf Ergebnisse in anderen Fällen geschlossen werden. Die Ergebnisse in anderen Fällen können abweichen. Die an dieser Einrichtung erzielten, in diesem Artikel beschriebenen Ergebnisse sind nicht unbedingt auf alle Einrichtungen zu übertragen.
Klinische Fallbeispiele
You are about to visit a Philips global content page
Continue