
Kontinuierliche Unterstützung durch Lumify
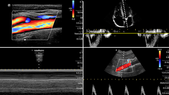
Beurteilen, diagnostizieren und behandeln Sie Ihre Patienten in Minuten mit einer Multi-Point-POCUS-Untersuchung.

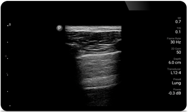
Aufatmen mit Lumify
Lumify kann helfen, Patienten schneller zu beurteilen und die Diagnosegenauigkeit häufiger Ursachen von Dyspnoe und anderen Lungenerkrankungen zu erhöhen.

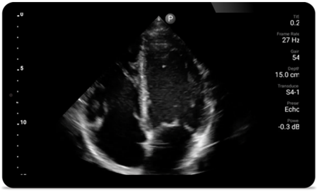
Jede Sekunde zählt in der Kardiologie
Herzinfarktpatienten benötigen unmittelbare Versorgung. Mit den kardiologischen Presets von Lumify können Patienten schneller diagnostiziert werden, um ihre Prognose zu verbessern.



















Video
Lumify aids life-saving technology in prehospital setting (Lumify unterstützt lebensrettende Technologien in präklinischen Umgebungen)

Fallstudie
Integrating Lumify into a resuscitation environment (Integration von Lumify in eine Reanimationsumgebung)

Kurzanleitung (Engl.)
Focused Assessment with Sonography in Trauma (FAST) exam (Sonographische Bestimmung freier Flüssigkeit im Bauchraum (FAST-Untersuchung))
You are about to visit a Philips global content page
Continue