
Die Behandlung beginnt mit einer präzisen Diagnose
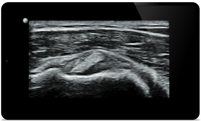
Lumify hilft Ihnen, die feinen Details in Muskeln, Gelenken, Bändern, Sehnen und Knorpeln zu erkennen, um Verletzungen präziser zu diagnostizieren.

Schnelle Reaktionen mit Bildgebung des ganzen Körpers
Lumify unterstützt Sie bei der Beurteilung von Patienten von Kopf bis Fuß, sei es bei Plantarsehnenentzündung, Sehnenscheidenentzündung oder Schleimbeutelentzündung in der Patellasehne oder sogar bei Schulterinstabilität in der Rotatorenmanschette.

Die Bildqualität größerer Ultraschallsysteme mit Lumify erreichen
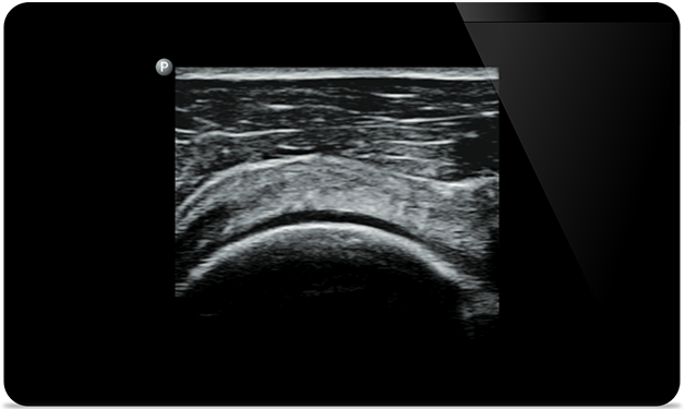
SonoCT verbessert die Gewebedarstellung und eliminiert Artefakte. So entstehen bei bis zu 94% der Patienten Bilder in besonders guter Qualität im Vergleich zu konventioneller Bildgebung.


Professor, Charles Sturt University

















Video
Ultrasound-guided
knee arthrocentesis (Ultraschallgeführte Kniearthrozentese)

Fallstudie
Supraspinatus tendon tear (Ruptur der Supraspinatussehne)

Kurzanleitung (Engl.)
Ultrasound-guided hip arthrocentesis (Ultraschallgeführte Hüftarthrozentese)
You are about to visit a Philips global content page
Continue